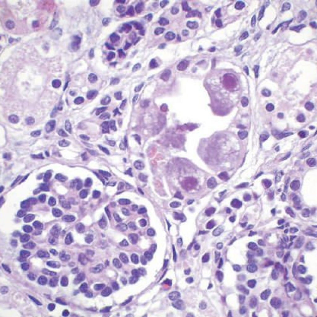
El citomegalovirus pertenece a la familia de los herpesvirus, que incluye el virus de herpes simple, virus de Epstein-Barr y la varicela zóster. Esta familia de virus se caracteriza por su capacidad para producir infecciones latentes y persistentes que puede pasar desapercibidas. Se convierte en patógena especialmente en pacientes cuyos sistemas inmunológicos son débiles: los tratados con inmunosupresores, los afectados por el SIDA y el feto materno. La infección por citomegalovirus en las mujeres embarazadas puede causar daños en el feto.
Este virus se transmite a través de todas las secreciones corporales: saliva, sangre, semen, lágrimas, leche materna, secreciones de la vagina y en el cuello uterino.
Las mujeres embarazadas no inmunizadas, son el factor de riesgo más importante y pueden trasmitirlo a su hijo, que puede contagiar a otros niños, sobre todo si se va a la guardería. El contagio se produce por el contacto o al compartir utensilios.
Los síntomas moderados son similares a los observados en la mononucleosis y suelen durar de unas semanas a lo sumo. Sin embargo, algunos grupos tienen mayor riesgo de sufrir complicaciones de la infección por CMV, tal y como sucede con las mujeres embarazadas, ya que puede dañar al futuro bebé, así como aquellos que tienen un sistema inmunitario debilitado debido a una enfermedad o tratamiento médico, como los receptores de trasplantes de órganos o de personas infectadas con el VIH.
Las características de CMV en el feto, cuando aparecen complicaciones puedes causar:
- Síntomas neurológicos retraso mental grave, más o menos, la calcificación cerebral.
- Sordera nerviosa sensorial.
- Hepatitis (ictericia, trastornos de la coagulación.
- Afectación gastrointestinal.
- Trombocitopenia.
- Crecimiento intrauterino retardado.
Actualmente no existe una vacuna para prevenir la infección por CMV. Para aquellos que tienen contacto cercano con los niños, especialmente las mujeres embarazadas una medida preventiva sencilla es lavarse las manos, tras el contacto con otras personas. Otras medidas incluyen no compartir utensilios para comer, así como evitar el contacto cercano con alguien que padece la infección de CMV.
Sin embargo, se aconseja a una madre con infección no interrumpir la lactancia mientras que los beneficios de la lactancia materna sean mayores que los riesgos del contagio al bebé. En cualquier caso, si notas alguno de estos síntomas descritos, lo más importante es acudir cuanto antes a tu médico para el tratamiento correcto.

Valeria Rubio
Sexóloga con más de una década de experiencia con un enfoque empático y accesible. Combina su formación académica con una pasión genuina por ayudar a las mujeres a explorar y entender su sexualidad de manera saludable y positiva.
- Valeria Rubio
- Valeria Rubio
- Valeria Rubio
- Valeria Rubio
- Valeria Rubio
- Valeria Rubio
- Valeria Rubio
- Valeria Rubio
- Valeria Rubio
- Valeria Rubio
- Valeria Rubio
- Valeria Rubio
- Valeria Rubio
- Valeria Rubio
- Valeria Rubio
- Valeria Rubio
- Valeria Rubio
- Valeria Rubio
- Valeria Rubio
- Valeria Rubio
- Valeria Rubio
- Valeria Rubio
- Valeria Rubio
- Valeria Rubio
- Valeria Rubio
- Valeria Rubio
- Valeria Rubio
- Valeria Rubio
- Valeria Rubio
- Valeria Rubio
- Valeria Rubio
- Valeria Rubio
- Valeria Rubio
- Valeria Rubio
- Valeria Rubio
- Valeria Rubio
- Valeria Rubio
- Valeria Rubio
- Valeria Rubio
- Valeria Rubio
- Valeria Rubio
- Valeria Rubio
- Valeria Rubio
- Valeria Rubio
- Valeria Rubio
- Valeria Rubio
- Valeria Rubio
- Valeria Rubio
- Valeria Rubio
- Valeria Rubio
- Valeria Rubio
- Valeria Rubio
- Valeria Rubio
- Valeria Rubio
- Valeria Rubio
- Valeria Rubio
- Valeria Rubio
- Valeria Rubio
- Valeria Rubio
- Valeria Rubio
- Valeria Rubio
- Valeria Rubio
- Valeria Rubio
- Valeria Rubio
- Valeria Rubio
- Valeria Rubio
- Valeria Rubio
- Valeria Rubio
- Valeria Rubio
- Valeria Rubio
- Valeria Rubio
- Valeria Rubio
- Valeria Rubio
- Valeria Rubio
- Valeria Rubio
- Valeria Rubio
- Valeria Rubio
- Valeria Rubio
- Valeria Rubio
- Valeria Rubio
- Valeria Rubio
- Valeria Rubio
- Valeria Rubio
- Valeria Rubio
- Valeria Rubio
- Valeria Rubio
- Valeria Rubio
- Valeria Rubio
- Valeria Rubio
- Valeria Rubio
- Valeria Rubio
- Valeria Rubio
- Valeria Rubio
- Valeria Rubio
- Valeria Rubio
- Valeria Rubio
- Valeria Rubio
- Valeria Rubio
- Valeria Rubio
- Valeria Rubio
- Valeria Rubio
- Valeria Rubio
- Valeria Rubio
- Valeria Rubio
- Valeria Rubio
- Valeria Rubio
- Valeria Rubio
- Valeria Rubio
- Valeria Rubio
- Valeria Rubio
- Valeria Rubio
- Valeria Rubio
- Valeria Rubio
- Valeria Rubio
- Valeria Rubio
- Valeria Rubio
- Valeria Rubio
- Valeria Rubio
- Valeria Rubio
- Valeria Rubio
- Valeria Rubio
- Valeria Rubio
- Valeria Rubio
- Valeria Rubio
- Valeria Rubio
- Valeria Rubio
- Valeria Rubio
- Valeria Rubio
- Valeria Rubio
- Valeria Rubio
- Valeria Rubio
- Valeria Rubio
- Valeria Rubio
- Valeria Rubio
- Valeria Rubio
- Valeria Rubio
- Valeria Rubio
- Valeria Rubio
- Valeria Rubio
- Valeria Rubio
- Valeria Rubio
- Valeria Rubio
- Valeria Rubio
- Valeria Rubio
- Valeria Rubio
- Valeria Rubio
- Valeria Rubio
- Valeria Rubio
- Valeria Rubio
- Valeria Rubio
- Valeria Rubio
- Valeria Rubio
- Valeria Rubio
- Valeria Rubio
- Valeria Rubio
- Valeria Rubio
- Valeria Rubio
- Valeria Rubio
- Valeria Rubio
- Valeria Rubio
- Valeria Rubio
- Valeria Rubio
- Valeria Rubio
- Valeria Rubio
- Valeria Rubio
- Valeria Rubio
- Valeria Rubio
- Valeria Rubio
- Valeria Rubio
- Valeria Rubio
- Valeria Rubio
- Valeria Rubio
- Valeria Rubio
- Valeria Rubio
- Valeria Rubio
- Valeria Rubio
- Valeria Rubio
- Valeria Rubio
- Valeria Rubio
- Valeria Rubio
- Valeria Rubio
- Valeria Rubio
- Valeria Rubio
- Valeria Rubio
- Valeria Rubio
- Valeria Rubio
- Valeria Rubio
- Valeria Rubio
- Valeria Rubio
- Valeria Rubio
- Valeria Rubio
- Valeria Rubio
- Valeria Rubio
- Valeria Rubio
- Valeria Rubio
- Valeria Rubio
- Valeria Rubio
- Valeria Rubio
- Valeria Rubio
- Valeria Rubio
- Valeria Rubio
- Valeria Rubio
- Valeria Rubio
- Valeria Rubio
- Valeria Rubio
- Valeria Rubio

